Orthodontics in San Jose
Dr. Lennard and his team at Lennard Orthodontics want to help you achieve your best smile possible. Serving patients in San Jose, CA and the surrounding communities, we specialize in personalized orthodontic care including clear braces and Invisalign®, to meet the needs of each patient's smile. When people are affected by bad bites, it can lead to poor oral hygiene or tooth damage, so we create a customized plan for your bite to correct crowded teeth, underbites and more. Take a look at some of our amazing results below to see what we can do for you!
Before and After Orthodontic Treatment
SEVERE DEEP OVERBITE
(Non-Extraction)
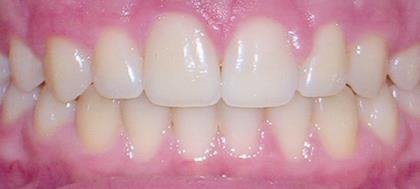
Underbite
(Non-Extraction)
Severe Deep Overbite, Impacted Upper Central Incisor
(Non-Extraction)
SEVERE DEEP OVERBITE, SEVERE OVERJET
(Non-Extraction)
Adult with Narrow Upper Jaw, Moderate Closed Overbite
(Non-surgical Palate Expansion, Previous Bicusipid Extractions)
Blocked-out Upper Canines, Bilateral Lateral Openbite
(Non-Extraction, Elastics)
Moderate-Severe Crowding, Moderate-Severe Deep Overbite
(Upper and Lower Removable Expansion, Non-Extraction)
Contact Our San Jose Orthodontist Office
Every person has a different smile and different needs, which is why we believe the best treatment is one that's been chosen and customized just for you. The best way to start your path to a beautiful, healthy smile is to visit Lennard Orthodontics for a consultation where you can learn about Invisalign®, clear braces or other orthodontic options. We treat patients of all ages, so we are happy to be your family orthodontist. Contact us today to schedule an appointment!


































